5 produktów zmniejszających haluksy i ból stopy. Przeczytaj.
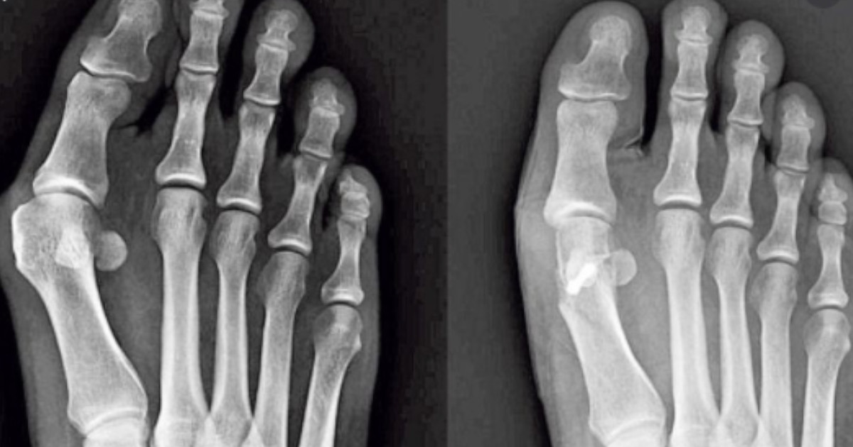
Haluks jest naroślą, która występuje z boku palucha u stopy. Jest przyczyną dyskomfortu u osób, które dotknął ten problem.
Paluch, czyli największy palec stopy jest swobodny względem innych palców. Jednak u osób z haluksami – paluch jest blisko palca obok, a rezultatem tego jest zmieniony wygląd stopy. Jest to schorzenie, które się rozwija i prowadzi do problemów w życiu codziennym.

Jak powstają haluksy?
Jedną z przyczyn deformacji palucha u kobiet jest noszenie ciasnego obuwia. Mimo tego jako główny czynnik podaje się uwarunkowania genetyczne, ponieważ nie każdego dotyka ten problem.
Gdy problem już wystąpi, wówczas osoba z haluksami odczuwa na stopie takie objawy jak: ból, drętwienie stopy, zaczerwienienie skóry wraz z jej pieczeniem. Metodą wyleczenia haluksów jest zabieg chirurgiczny, aczkolwiek można poprawić swój komfort życia mimo haluksa.
Jak żyć z haluksem?
Przede wszystkim powinniśmy unikać obuwia z ciasnymi noskami i nie obciążać nadmiernie stopy poprzez długie stanie. Oprócz tego można zastosować doraźne produkty, które poprawią nasze funkcjonowanie i pozwolą zapomnieć o problemie.

1.Ciepła oliwa z oliwek
Rozgrzewamy oliwę z oliwek i masujemy haluks wraz z innymi częściami stopy. Czynność powinniśmy wykonywać przez 15 minut. Skutkiem tego działania będzie pobudzenie mazi stawowej i poprawa krążenia krwi. Ból zostanie zniwelowany dzięki zmniejszeniu tarcia w stawach.
2.Sól Epsom
Rozpuszczamy w wannie pół szklanki soli Epsom i zanurzamy w wodzie stopy na 20 minut. Powtórzyć dwa razy dziennie. Zawarty w tej soli siarczan magnezu złagodzi stan zapalny, złagodzi ból, a nawet zmniejszy haluksa.
3.Podgrzany olej rycynowy
Podgrzewamy pół kubka oleju np. przy użyciu patelni, a następnie sączymy nim cienką szmatkę. Ona natomiast posłuży do owinięcia jej wokół haluksa wraz z ręcznikiem w celu podtrzymania temperatury. Działamy w ten sposób dwa razy dziennie. Krew zostanie pobudzona, więc zostanie złagodzony za sprawą właściwości przeciwzapalnym. Opuchlizna również powinna się zmniejszyć.
4.Okład z lodu
Pokruszone kostki lodu umieszczamy w płóciennym woreczku, które układamy na haluksie kilka razy dziennie. Zmniejszy się ból oraz obrzęk.
5.Sok z czerwonej papryki
Sok z ostrej i świeżej papryki wciskamy na haluksa. Dodajemy wazelinę i przykrywamy haluksa bandażem. Następnie myjemy ręce. Stosować dwa razy dziennie. Metoda ta działa za sprawą kapsaicyny o działaniu: rozgrzewającym, bakteriobójczym i bakteriostatycznym
Comments are closed.